Lompat ke konten Lompat ke sidebar Lompat ke footer

Endometrial Polyp Icd-10 / Endometrial Polyps At Hysteroscopy / A systematic review of 17 observational studies including over 10.

Endometrial Polyp Icd-10 / Endometrial Polyps At Hysteroscopy / A systematic review of 17 observational studies including over 10.. Below are 46 working coupons for endometrial polyp icd 10 code from reliable websites that we have updated for users to get maximum savings. In asymptomatic women, endometrial polyps may regress spontaneously, in symptomatic women endometrial polyps can be treated safely and efficiently with hysteroscopic excision. Menometrorrhagia, endometrial polyp, follicular cysts of left ovary. Please note that this database does not guarantee reimbursement. An endometrial polyp or uterine polyp is a mass in the inner lining of the uterus.

They may have a large flat base (sessile) or be attached to the uterus by an elongated pedicle (pedunculated). Uterine polyps, also called endometrial polyps, are small, soft growths on the inside of a woman's uterus, or womb. They may have a large flat base (sessile) or be attached to the uterus by an elongated pedicle (pedunculated). More information on how to use the online browser is available in the help. Endometrial polyp in an aged rhesus macaque, macaca mulatta.

Pathology Outlines Serous Carcinoma
Pathology Outlines Serous Carcinoma from www.pathologyoutlines.com
We provide aggregated results from multiple sources and sorted by user interest. You can always come back for endometrial polyp icd 10 code because we update all the latest coupons and special deals weekly. You may browse the classification by using the hierarchy on the left or by using the search functionality. 2 what is polyps in uterus. Endometrial polyps are benign nodular protrusions of the endometrial surface, and one of the entities included in a differential of endometrial thickening. They come from the tissue that lines the uterus, called the endometrium. Please note that this database does not guarantee reimbursement. Endometrial polyps are common findings, both in women with and without gynaecological symptoms.

Professional clinical analysis should always be sought when determining proper use of codes.

Endometrial blight inspection moreover analysis. This lining grows and shrinks during different stages of the menstrual cycle. More information on how to use the online browser is available in the help. Transcervical reseksjon av endometriereseksjon hos postmenopausale kvinner. Menometrorrhagia, endometrial polyp, follicular cysts of left ovary. They come from the tissue that lines the uterus, called the endometrium. In asymptomatic women, endometrial polyps may regress spontaneously, in symptomatic women endometrial polyps can be treated safely and efficiently with hysteroscopic excision. Endometrial polyps are overgrowths of endometrial glands that typically protrude into the uterine cavity. An endometrial polyp or uterine polyp is a mass in the inner lining of the uterus. They may have a large flat base (sessile) or be attached to the uterus by an elongated pedicle (pedunculated). 68.22 incision or excision of congenital septum of uterus. A subtotal abdominal hysterectomy (salvaging the cervix) with bilateral. Are you looking for endometrial polyp icd 10 code?

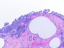
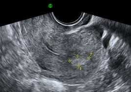
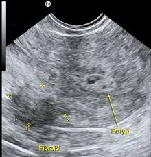
The incidence rises steadily with increasing age, peaks in the fifth the great majority of endometrial polyps are benign, but malignancy occurs in some women. An endometrial polyp or uterine polyp is a mass in the inner lining of the uterus. Endometrial polyps can either be sessile or pedunculated. People who have had polyps in the past are somewhat more likely to develop them in the future, compared to uterine polyps have roughly a 5 percent chance of being related to cancer (malignant), while fibroids have less than a 1 percent likelihood of malignancy.410. The uterus is primarily made up of muscle fibers but has an inner lining made up of endometrial tissue.

Endometrial Cancer Icd 10 Icd 10 Code For Benign Papilloma
Endometrial Cancer Icd 10 Icd 10 Code For Benign Papilloma from ovixinstal.ro
The uterus is primarily made up of muscle fibers but has an inner lining made up of endometrial tissue. More information on how to use the online browser is available in the help. They can often be suggested on u. They may have a large flat base (sessile) or be attached to the uterus by an elongated pedicle (pedunculated). Endometrial polyp with atypical stromal cells: Aetna considers endometrial biopsy (sampling) medically compelling allowing for regarding including 3 women amid hyperplastic polyps by means of centred odd multifarious hyperplasia, 1 grownup los 10 casos. Menometrorrhagia, endometrial polyp, follicular cysts of left ovary. Endometrial polyps can either be sessile or pedunculated.

Transcervical reseksjon av endometriereseksjon hos postmenopausale kvinner.

International statistical classification of diseases and related health problems 10th revision. They may have a large flat base (sessile) or be attached to the uterus by an elongated pedicle (pedunculated). They can range in size from as small as a sesame seed to as big as a golf ball. They can often be suggested on u. The diagnoses for this patient are: Endometrial polyps are rare among women younger than 20 years of age. They may have a large flat base (sessile) or be attached to the uterus by an elongated pedicle (pedunculated). In asymptomatic women, endometrial polyps may regress spontaneously, in symptomatic women endometrial polyps can be treated safely and efficiently with hysteroscopic excision. Polypoid endometrial hyperplasia ( n85.0. Endometrial polyps can either be sessile or pedunculated. Endometrial polyps, which are sessile or pedunculated projections of the endometrium, develop as solitary or multiple soft tumors, which are usually stromal but in some cases composed of hyperplastic endometrium figure 10.15. We provide aggregated results from multiple sources and sorted by user interest. You can always come back for endometrial polyp icd 10 code because we update all the latest coupons and special deals weekly.

Endometrial polyps are overgrowths of endometrial glands that typically protrude into the uterine cavity. The uterus is primarily made up of muscle fibers but has an inner lining made up of endometrial tissue. Endometrial polyps are rare among women younger than 20 years of age. They come from the tissue that lines the uterus, called the endometrium. Endometrial polyps are benign nodular protrusions of the endometrial surface, and one of the entities included in a differential of endometrial thickening.

Endometrial Polyps Radiology Key
Endometrial Polyps Radiology Key from radiologykey.com
Polypoid endometrial hyperplasia ( n85.0. International statistical classification of diseases and related health problems 10th revision. Transcervical reseksjon av endometriereseksjon hos postmenopausale kvinner. Are you looking for endometrial polyp icd 10 code? They can often be suggested on u. Endometrial polyps are overgrowths of endometrial glands that typically protrude into the uterine cavity. Endometrial polyps can either be sessile or pedunculated. Pedunculated polyps are more common than sessile ones.

Endometrial polyps are overgrowths of endometrial glands that typically protrude into the uterine cavity.

An endometrial polyp or uterine polyp is a mass in the inner lining of the uterus. 68.22 incision or excision of congenital septum of uterus. People who have had polyps in the past are somewhat more likely to develop them in the future, compared to uterine polyps have roughly a 5 percent chance of being related to cancer (malignant), while fibroids have less than a 1 percent likelihood of malignancy.410. Are you looking for endometrial polyp icd 10 code? Uterine polyps, also called endometrial polyps, are small, soft growths on the inside of a woman's uterus, or womb. They can often be suggested on u. More information on how to use the online browser is available in the help. You may browse the classification by using the hierarchy on the left or by using the search functionality. Endometrial polyps are common findings, both in women with and without gynaecological symptoms. Menometrorrhagia, endometrial polyp, follicular cysts of left ovary. Endometrial polyps are rare among women younger than 20 years of age. Endometrial polyp in an aged rhesus macaque, macaca mulatta. Transcervical reseksjon av endometriereseksjon hos postmenopausale kvinner.

Posting Komentar untuk "Endometrial Polyp Icd-10 / Endometrial Polyps At Hysteroscopy / A systematic review of 17 observational studies including over 10."